Учёные раскрыли секрет "мозговой канализации"
В механизме работы этого органа обнаружен уникальный процесс, принцип деятельности которого и напоминает канализацию.
Фото: © Flickr/Matthew Purdy
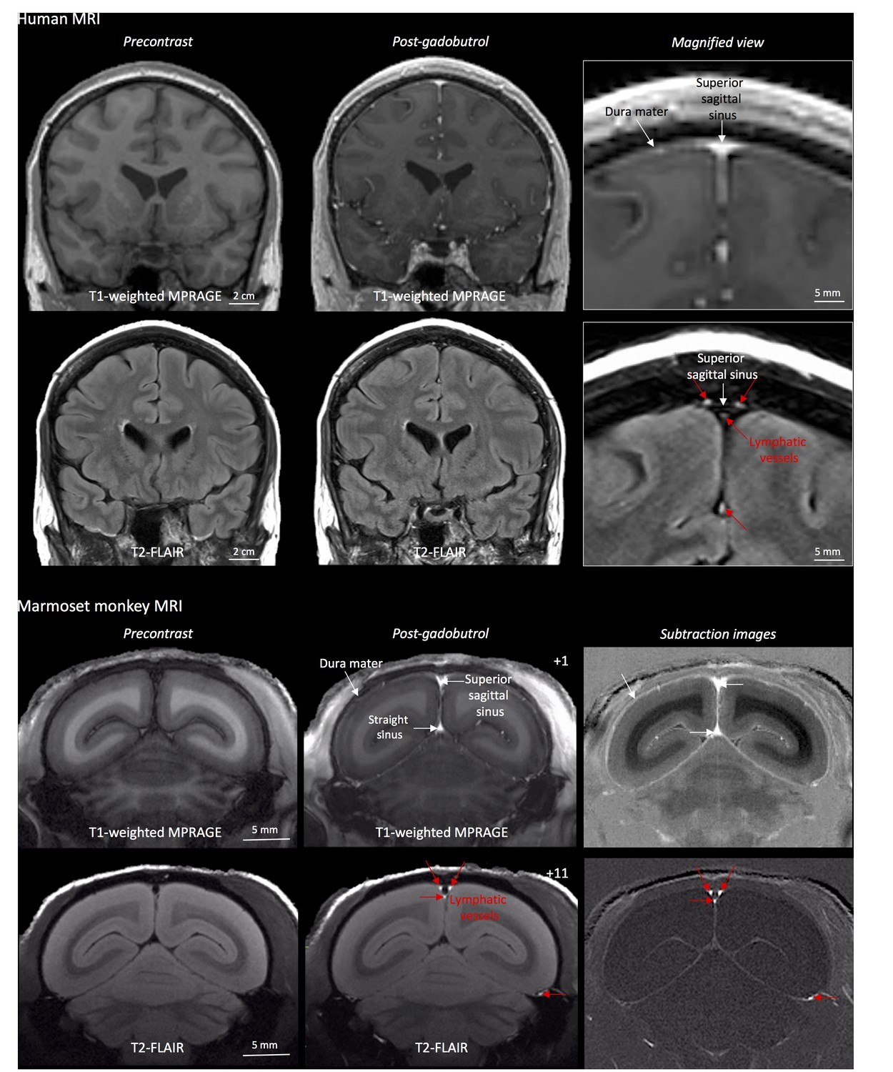
Учёные из Национального института неврологических расстройств и инсульта в США доказали, что мозг человека имеет специальный механизм регулирования и "сливает" патогены и молекулярные отходы через собственный "трубопровод". Учёные выяснили, что смешанные межклеточная и спинномозговая жидкости очищаются с помощью небольшой лимфатической системы. Первоначальное обследование добровольцев с помощью МРТ и введения гадобутрола не показало ничего необычного. Однако после перенастройки оборудования учёные заметили крошечные, едва различимые лимфатические сосуды, через которые мозговой "мусор" выводится в лимфатическую систему.

Фото: © eLife
Исследователи отмечают, что в текущие дискуссии о точной локализации лимфатических сосудов внутри головного мозга можно внести некоторую ясность. Применение МРТ с диффузным усилением даёт основания утверждать, что большая часть лимфатических сосудов находится внутри твёрдой оболочки головного мозга. Детальное изучение результатов МРТ позволило узнать и точную структуру "мозговой канализации" — она состоит из 93 дуральных лимфатических сосудов.
Теперь учёным предстоит выяснить, как именно осуществляется удаление "лишних" клеток из головного мозга, каким образом система функционирует при травмах или нейродегенеративных заболеваниях.
