Во Франции врачи спасли мужчину с арбалетной стрелой в голове

Фото © Twitter / Evanos News
Потерпевший в общей сложности провёл в реанимации 48 часов.
Во Франции врачи университетского клинического центра Реймса спасли жизнь мужчины, в голове которого застряла арбалетная стрела, пишет Le Monde.
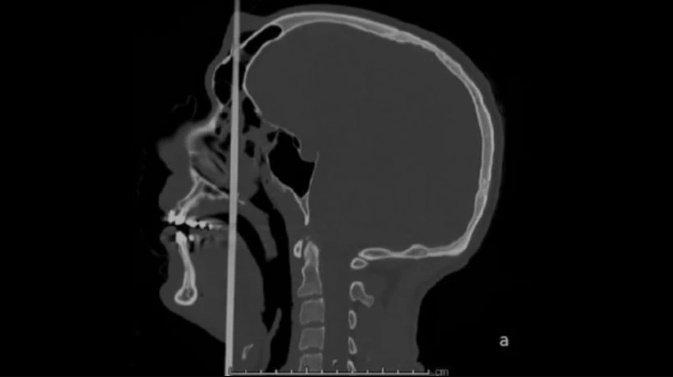
Стрела вошла в голову в районе подбородка и вышла посреди лба. Когда на место происшествия прибыла бригада медиков, француз был в сознании, кровотечения у него не было. Рот открыть пациент не мог, так как стрела прошла сквозь ротовую полость и спровоцировала сильный спазм.

3D-модель полученной травмы. Фото © Le Monde
Перед операцией потерпевшему дали успокоительное и обезболивающее. Потом медики аккуратно извлекли стрелу. Мужчина в общей сложности провёл в реанимации 48 часов, потом его отправили под наблюдение отоларингологов.

