В Бурятии неокуб чуть не убил двухлетнего ребёнка, слипнувшись в его кишках

Обложка © VK / ГАУЗ «ДРКБ» МЗ РБ
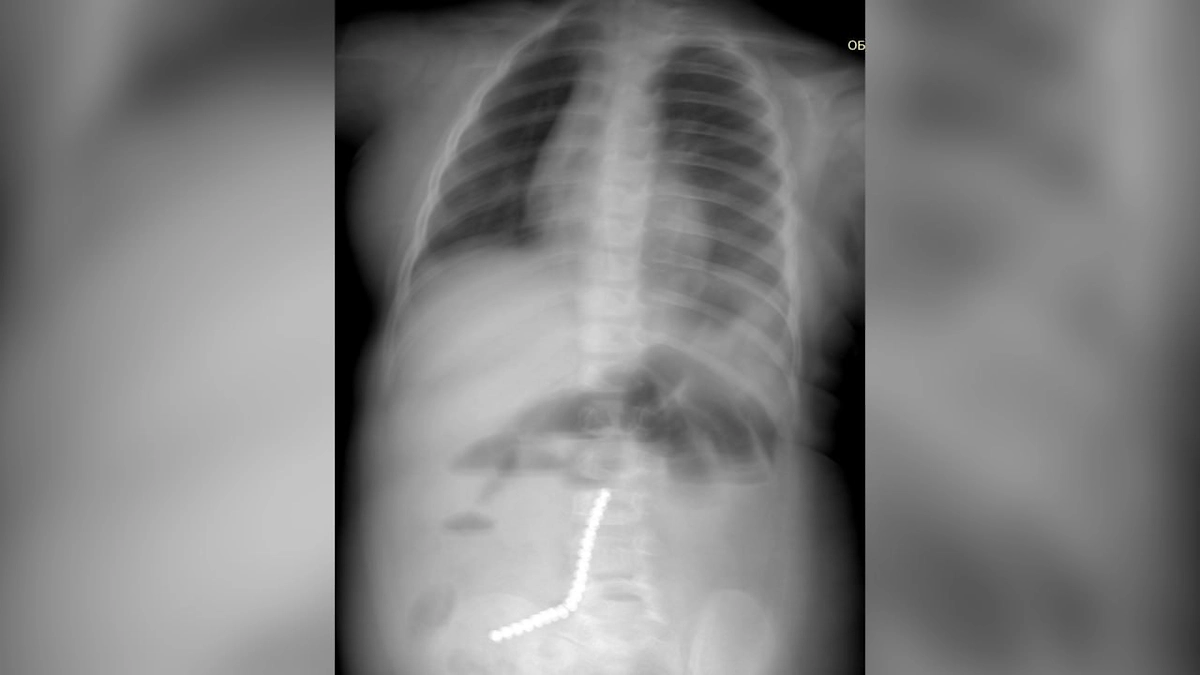
В Бурятии врачи спасли двухлетнего ребенка, проглотившего 20 магнитных шариков от неокуба. Подробности сложнейшей операции сообщили в Детской республиканской клинической больнице.
Малыш поступил в начале февраля с рвотой и резким ухудшением состояния. Рентген показал наличие 20 инородных тел в желудочно-кишечном тракте. Девять магнитов удалось извлечь эндоскопом, но остальные успели мигрировать в кишечник, вызвав перфорацию.
«Петли тонкой, сигмовидной и слепой кишки слиплись между собой из-за магнитного притяжения», — прокомментировал хирург Булат Шагдаров.
Потребовалась открытая операция. Медики удалили часть тонкой кишки с прободением, ушили свищи, а также аппендикс, куда попала часть магнитов. Сейчас ребёнок переведён из реанимации и продолжает лечение под наблюдением врачей.
Ранее Life.ru рассказывал, как в Екатеринбурге врачи «вырастили» часть печени пациенту с онкологическим заболеванием для проведения операции. Проблема была в том, что здоровая часть органа составляла всего 30%, а для резекции необходимо не менее 40%.
Больше актуальных событий в режиме реального времени — читайте в разделе «Последние новости» на Life.ru.

