Американка проглотила нож, показывая трюк друзьям
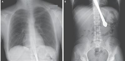
15-сантиметровый столовый прибор оказался в пищеводе 30-летней жительницы Атланты, которая демонстрировала полное отсутствие у себя рвотного рефлекса.

Американка из штата Джорджия невольно примерила на себя роль "шпагоглотательницы", развлекая свою семью и друзей в своем доме.
30-летняя женщина при помощи столового ножа для масла демонстрировала собравшейся публике тот факт, что у нее полностью отсустствует рвотный рефлекс.
В процессе показа девушка непроизвольно начала смеяться и проглотила предмет длиной в 15 сантиметров.
На скорой неудавшуюся трюкачку доставили в медицинский центр для обследования. Медики, сделав рентген, установили, что пищевод и желудок пациентки остались неповрежденными, хирургическое вмешательство не потребовалось.
Для того чтобы достать нож, специалисты провели процедуру гастроскопии, после чего освободили даму от проглоченного "реквизита".
В свое оправдание женщина рассказала, что несколько лет назад страдала булимией и часто избавлялась от пищи, вызывая у себя рвоту, так что она даже не почувствовала особого дискомфорта.
Муж пострадавшей также признался, что 4 года назад супруга уже пережила похожий инцидент, проглотив столовый прибор, после чего ей пришлось перенести операцию.
