Учёные назвали новый способ быстрого лечения пневмонии
По наблюдениям врачей, это средство спасает лёгкие даже тогда, когда ИВЛ уже практически бесполезна.

Учёные назвали новый способ быстрого лечения пневмонии. Обложка © Shutterstock
Уникальную эффективность против пневмонии показали ингаляции ксеноном, заявил Лайфу доктор медицинских наук Сергей Наумов. Он рассказал, что в начале пандемии CoViD-19 в декабре 2020 года этот метод применили в ходе лечения 48-летнего пациента с тяжёлой двусторонней вирусной пневмонией. Результатами исследователи поделились в опубликованной научной работе. Вот как выглядели лёгкие до ксеноновой терапии. Видно, что лёгкие в очень плохом состоянии.

Лёгкие пациента до ксеноновой терапии. Фото © National Library of Medicine
Как объясняют медики, так происходит оттого, что разрушаются лёгочные пузырьки, через которые кислород из лёгкого переносится в кровь, — альвеолы. При атаке вируса они разрушаются физически: внутреннюю поверхность альвеолы выстилает особое вещество, которое поддерживает этот пузырёк в "надутом" состоянии, то есть поддерживает его натяжение, оно называется сурфактант. Состоит оно из двух молекул жиров и одной молекулы белка. Так вот, при воспалении жиры сворачиваются, вещество становится твёрдым, неэластичным и больше не держит альвеолу — пузырёк схлопывается. И в такой ситуации можно сколько угодно подавать кислород в лёгкие, но это не поможет — альвеолы просто не могут его забирать.
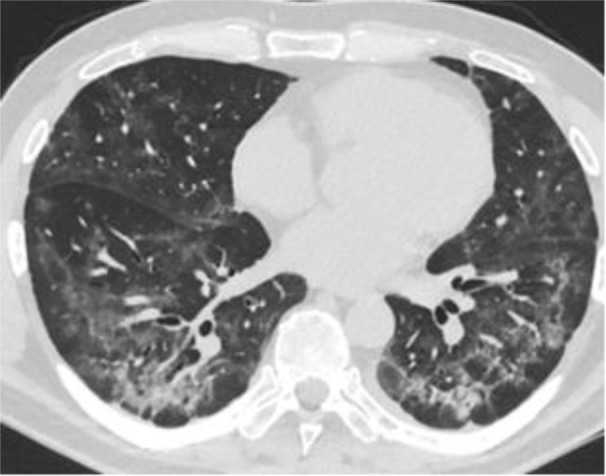
По опубликованным данным, пациент в ходе лечения вдыхал смесь ксенона и кислорода в соотношении 70 и 30 процентов соответственно. Ингаляции делали по одному разу в сутки в течение пяти дней, каждый сеанс длился 3 минуты. Отмечается, что уже после одной минуты сеанса пациент чувствовал себя гораздо лучше, по итогам двух первых ингаляций было зафиксировано уменьшение одышки и повышение уровня насыщения крови кислородом. Вот лёгкие больного после курса. На опытный глаз врачей, ситуация заметно улучшилась.

Лёгкие пациента после ксеноновой терапии. Фото © National Library of Medicine
Сергей Наумов объяснил, как именно ксенон работает в лёгких: по его словам, он "любит" жиры, его атомы прекрасно в них растворяются, внедряются в структуру их молекул и таким образом поддерживают их конструкцию. За счёт этого и восстанавливается сурфактант, а вместе с ним — здоровое состояние и функция альвеолы. По словам учёного, благотворное влияние ксенона на лёгкие было также подтверждено испытаниями на животных, экспериментами в пробирке и физическими расчётами.

Я сторонник малых и коротких дозировок, потому что ксенон кровь насыщает буквально в течение минуты. Он, по сути, на глазах расправляет сурфактант. Три минуты ингаляции — это максимальная продолжительность, этого вполне достаточно для пациента до 40 лет. Мы рекомендуем в общей сложности 4–5 сеансов по 3 минуты через день или каждый день
Стоит отметить, что существуют специальные препараты с сурфактантами, но, как пояснил доктор наук, по поводу них есть большой вопрос насчёт доставки этого вещества непосредственно внутрь альвеол. Ксенон же благодаря своим свойствам восстанавливает собственный сурфактант в лёгких пациента.
Этот газ получают как побочный продукт металлургии и химической промышленности при разделении воздуха. Медик посетовал, что из-за антироссийских санкций ксенон подорожал в несколько раз, сейчас литр газа стоит порядка пяти тысяч рублей. На один сеанс ингаляций при пневмонии в зависимости от габаритов больного и тяжести заболевания уходит от 500 миллилитров до полутора литров ксенона. Ингаляции проводятся с помощью специального аппарата. Сергей Наумов подчеркнул, что лечиться ксеноном можно только под руководством опытных медиков.

Обязательно нужно учиться у профессионалов, обязательно должен врач это проводить. И обязательно соблюдать все инструкции
Этот инертный газ абсолютно нетоксичен и при соблюдении дозировки и достаточной квалификации врача совершенно безопасен, заверил Сергей Наумов. Он рассказал, что это подтверждают результаты испытаний этой методики в России, США и Китае. Тем не менее ксеноновая терапия тоже имеет свои противопоказания. В частности, её нельзя делать людям с ишемией, после инсульта и вообще с больным сердцем, с серьёзными неврологическими патологиями. Кроме того, ксеноновые ингаляции опасны после приёма алкоголя или наркотических средств.


