Головная боль человечества. Где в наших телах накапливается микропластик
Недавно учёные увидели, сколько полиэтилена и прочих полимеров успевает собраться в теле современного человека.

Учёные выявили скопления микропластика в головном мозге.Обложка © «Шедеврум»
Эпидемиологи должны проверять воду и морепродукты на наличие в них микропластика, заявила заведующая лабораторией геоэкологии и устойчивого природопользования МГИМО Наталья Рязанова. По её мнению, пока единственный способ минимизировать накопление пластиковых частиц в организме — избегать употребления рыбы, кальмаров, креветок и вообще любых даров моря.
— Микропластик в наш организм поступает прежде всего с водой из открытых водоёмов, с пищей, рыбой и водорослями, — объяснила Life.ru кандидат географических наук.
Ранее международная команда учёных выяснила, что в головном мозге накапливается особенно много микропластика. Исследователи сравнили результаты «сканирования» внутренних органов умерших в разные годы людей и обнаружили скопления полимерных частиц в мозге, печени и почках. При этом в мозге концентрация составила тысячи микрограммов на каждый грамм тканей. Для сравнения: в печени и почках выявили около 400 микрограммов.

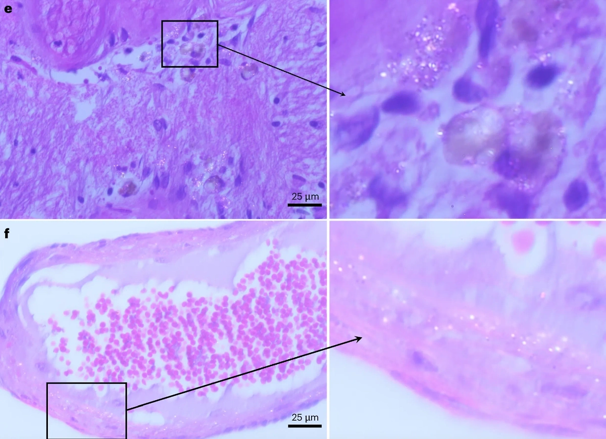
Примеры микропластиковых частиц, обнаруженных в тканях головного мозга. Фото © nature.com
Частицы оказались в основном полиэтиленовые, а их размеры чаще всего не превышают десятитысячных долей миллиметра. Интересно, что количество частиц не зависело ни от возраста, ни от, например, причин смерти, но явно было связано с другим показателем — датой кончины: у умерших в 2016 году микропластика в организме было гораздо меньше, чем у тех, кого не стало в 2024-м. Доцент МГИМО объяснила, что их накопление в определённых частях тела связано с особенностями кровеносной системы.
— Головной мозг — это орган, в котором очень узкие, тонкие кровеносные сосуды, и там если частицы достаточно крупные, то они могут цепляться одна за другую, как бы прилипая к стенкам этих сосудов, и не могут быть «промыты» током крови, — рассказала Наталья Рязанова.

Примеры микропластиковых частиц, обнаруженных в тканях головного мозга. Фото © nature.com
Такие же узкие кровеносные сосуды расположены в глазном дне, а также в кончиках пальцев, отметила кандидат наук. Она предположила, что микропластик больше накапливается в организме людей с ишемической болезнью сердца и другими сердечно-сосудистыми патологиями.
Меж тем ещё одно недавнее исследование обнаружило мельчайшие полимерные частицы в закупоренных и воспалённых сонных артериях. По мнению медиков, это позволяет подозревать, что микропластик вызывает или как минимум повышает риск болезней сердца и сосудов.


