Кость проткнула кишечник: Рыбак из Подмосковья едва не отправился на тот свет, отужинав уловом
Луховицкие хирурги спасли мужчину, которому рыбья кость проткнула кишечник

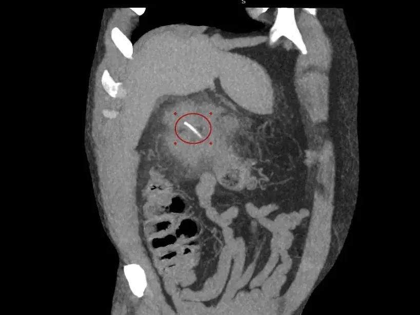
Рыбья кость проткнула кишечник мужчины. Обложка © Life.ru / Шедеврум
Врачи Луховицкой больницы спасли рыбака, которому рыбья кость проткнула кишечник. В медицинское учреждение обратился 64-летний мужчина с жалобами на периодические боли в правом подреберье. Проведённая диагностика выявила инородное тело костной плотности в проекции правого фланга толстой кишки.

Рыбья кость проткнула кишечник мужчины. Фото © Предоставлено Life.ru
«Пациент нуждался в экстренном хирургическом вмешательстве. Мы провели КТ-диагностику, после чего вскрыли абсцесс под спинальной анестезией и удалили гной. Операция прошла успешно», — поделился заведующий хирургическим отделением больницы Илья Луньков.
Рыбья кость около трёх сантиметров длиной проделала отверстие в стенке толстой кишки мужчины в области печени. Рыбу пациент ел почти месяц назад, проглотив и кость. Сначала он не почувствовал никакого дискомфорта, но спустя некоторое время появились периодические боли в подреберье. В больнице провели операцию, сейчас мужчина чувствует себя хорошо и готовится к выписке.
Ранее в Дагестане врачи спасли младенца, который проглотил 390 магнитов от неокуба. Специалисты быстро удалили все магниты, которые зафиксировались в разных частях желудочно-кишечного тракта. Однако жизнь ребёнка по-прежнему под угрозой, сейчас он находится в реанимации. Малыш подключён к ИВЛ, его состояние тяжёлое, но стабильное.

