Началось как простуда, а закончилось комой. В Индии бушует вирус Нипах с летальностью до 75%
Оглавление
В январе 2026 года в индийской Калькутте вспыхнул вирус Нипах с высокой летальностью. Какая сейчас обстановка в Индии, есть ли угроза для россиян и ответ Роспотребнадзора — в материале Life.ru.

Вспышка вируса Нипах в Индии 2026-го: угроза новой пандемии или локальная история? Обложка © Gemini Nano Banana
Последние новости про вирус Нипах
В 2026 году в индийских СМИ появились сообщения о вспышке вируса Нипах. Всё началось в районе Калькутты (штат Западная Бенгалия), где местные службы проверяют возможные цепочки заражения и расширили круг людей под медицинским наблюдением. Под контроль могло подпасть около сотни контактов.
Важно сразу уточнить: Нипах — не «новый индийский вирус», он был впервые выявлен в 1999 году в Малайзии. Просто он проявляется вспышками, и болезнь иногда протекает крайне тяжело. Всемирная организация здравоохранения оценивает летальность в разных вспышках в диапазоне 40–75% — цифры могут «гулять» в зависимости от того, насколько быстро выявляют пациентов и как выстроена медицинская помощь на месте.
Ранее в Индии было четыре вспышки заболевания — в 2001 и 2007 годах в штате Западная Бенгалия, в 2018 и 2019 годах — в штате Керала.
Откуда взялся Нипах и чем он опасен

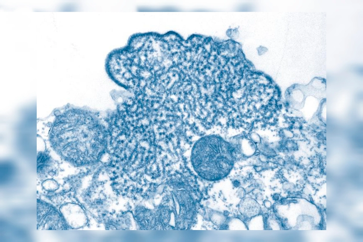
Как выглядит вирус Нипах. Фото © Wikipedia / CDC / C. S. Goldsmith, P. E. Rollin
Этот вирус относится к зоонозам: то есть изначально циркулирует у животных, а человеку передаётся при определённых условиях. Нипах распространяется летучими лисицами и мышами, люди обычно им заболевают, съев фрукты, на которых оказалась слюна заражённого животного.
Первые симптомы вируса Нипах похожи на тяжёлую простуду: повышенная температура, головная и мышечная боль, рвота, боль в горле. Далее могут быть головокружение, сонливость, изменённое сознание и неврологические признаки, которые указывают на острый энцефалит. У некоторых людей может также развиться атипичная пневмония. В тяжёлых случаях развиваются энцефалит и конвульсии, приводящие к коме через 24–48 часов.

Сероголовая летучая лисица в том числе может переносить вирус Нипах. Фото © Wikipedia / Andrew Mercer
Что известно по ситуации в Индии
Индийские власти проводят противоэпидемические мероприятия, круг контактных лиц — под наблюдением, это около ста человек. Генконсул России в Калькутте Максим Козлов отметил, что угрозы для россиян нет, а ограничения в городе не вводились.
Это важная деталь: сейчас речь идёт о локальной санитарной работе, а не о закрытом городе и других массовых запретах.
Что говорит Роспотребнадзор и есть ли риск завоза в Россию
Роспотребнадзор на фоне новостей напомнил базовые вещи: случаев завоза в Россию не зарегистрировано, а в стране есть достаточное количество тест-систем, чтобы при необходимости быстро подтвердить или исключить диагноз.
Ведомство также дало рекомендации для туристов и тех, кто находится в регионе: действовать без драматизации, но по делу — гигиена рук, аккуратность с водой и пищей, избегание контактов с больными животными.

Мыть руки — мера предосторожности. Фото © Shutterstock / FOTODOM / Yauheniya Julia
Что делать обычному человеку: без паники, но со вниманием
Если вы не в Индии и не контактировали с заболевшими, каких-то специальных действий для всех нет — это не история про повсеместный риск. Но если вы собираетесь в поездку по Индии или Юго-Восточной Азии, меры простые: соблюдайте гигиену, не пейте воду из непроверенных источников, тщательно мойте фрукты и овощи. А если после поездки появились высокая температура, сильная головная боль, кашель и ухудшение самочувствия — обратитесь к врачу и сообщите, где вы были. Это стандартный подход, который описывают и ВОЗ, и CDC.
Почему история с Нипахом не похожа на «ковидный сценарий»
Нипах опасен тяжестью течения, но это не означает автоматического глобального распространения вируса. Даже в международных справках подчёркивают: вспышки обычно локальные, а ключевой риск — тесные контакты и позднее выявление. Поэтому основной инструмент здесь — не локдауны, а эпиднадзор, изоляция заболевших и работа с контактными.

