Мужчина ввёл в уретру кабель и инструмент для извлечения сим-карты и жил так полгода
DM: В Индонезии мужчина полгода прожил с инородными предметами в мочевом пузыре
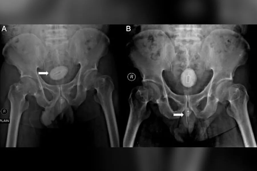
В Индонезии врачи удалили из уретры 48-летнего мужчины инструмент для извлечения сим-карты, электрический кабель и канцелярскую резинку, с которыми тот жил полгода. Пациент обратился в больницу из-за боли и нарушения мочеиспускания, медики взяли анализы и выяснили, что у него почечная недостаточность и инфекция мочевыводящих путей.

Рентгеновский снимок жителя Индонезии, который ввёл в уретру кабель и инструмент для извлечения сим-карты. Фото © sciencedirect.com
Позже выяснилось, что к образованию камня в мочевом пузыре и сильной боли привёл железный инструмент для извлечения сим-карт. Его, а также электрический кабель длиной 10 сантиметров и восьмисантиметровую иглу, перевязанную резинкой, удалили. Через неделю после процедуры индонезиец уже смог нормально ходить в туалет, а через полтора месяца исчезли последние осложнения, функция почек оказалась нормальной, пишет Daily Mail.
Примечательно, что у мужчины не было подтверждённых психических расстройств и он отрицал, что когда-либо вводил инородные предметы в уретру. Позже психиатры всё же диагностировали у него расстройство адаптации — эмоциональную реакцию на стресс — и прописали лекарства, которые уменьшают и контролируют симптомы психических заболеваний, включая шизофрению и биполярное расстройство.
Ранее в Курском онкоцентре врачи удалили у женщины опухоль весом 26 кг. У пациентки значительно увеличился размер живота, однако она до последнего не обращалась за медицинской помощью — пока не стало тяжело дышать и передвигаться.
Shutterstock / FOTODOM

