Девушка из Пушкино сломала ногу в трёх местах из-за каблука

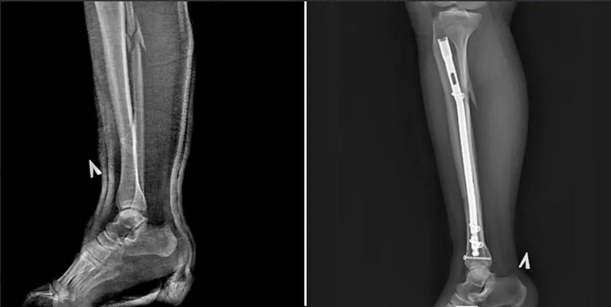
Перелом в трёх местах из-за каблука. Фото предоставлено Life.ru
Врачи подмосковного города Пушкино смогли спасти девушку, которая получила три перелома ноги из-за каблука. 30-летняя дама попала в яму на 12-сантиметровых шпильках и обратилась в отделение травматологии Пушкинской клинической больницы имени профессора В.Н. Розанова. В результате травмы она получила оскольчатый перелом костей голени, большой берцовой и малой берцовой костей.
"Под спинальной анестезией мы провели остеосинтез, то есть сращение обломков костей, чтобы правильно их закрепить, использовали штифты и винты. Остеосинтез позволяет уйти от традиционного и привычного гипса и, соответственно, исключает вероятность вторичного смещения, а также последствий в виде тромбоза, остеопороза, артроза. На повреждённую ногу пациентка смогла наступать вечером уже в день операции", — рассказал травматолог-ортопед Александр Первухин.
Сейчас девушка прекрасно себя чувствует. Её уже выписали домой под амбулаторное лечение. Правда, через год ей предстоит новая операция для удаления всех металлоконструкций.
Несмотря на то что высокий каблук визуально делает ногу более стройной и красивой, ходить на каблуках необходимо всё равно очень осторожно и по ровной поверхности, заметил Первухин. Для повседневной носки он посоветовал надевать каблук не выше 5 см.
Ранее Life.ru смог развеять четыре известных мифа о переломах костей. Врач объяснил, что перелом кости не всегда сопровождается острой болью. Убеждение многих в том, что способность двигать пострадавшей конечностью говорит об отсутствии перелома, является мифом, добавил специалист.

