Врачи спасли нижегородца с гигантским червём, который пожирал его печень
Нижегородские врачи спасли пациента с огромным червём в печени
Российские медики извлекли из печени пациента огромного ленточного червя. Уникальная операция была проведена в Нижегородском областном онкодиспансере, рассказал главный редактор МИА "Стационар пресс" Алексей Никонов.
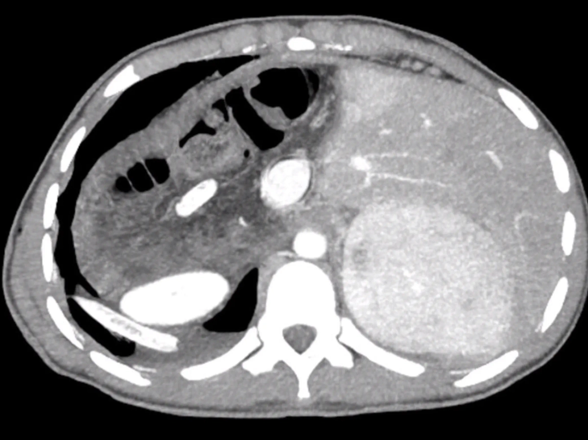
"Объёмное новообразование в печени молодого парня выявили во время УЗИ. Как оказалось, это гельминт альвеококк захватил печень и её магистральные сосуды. Он сумел прорасти в нижнюю полую вену, диафрагму и в правое лёгкое", — написал он в телеграм-канале.
Как отметил Никонов, изначально хирурги из Индии и Турции рекомендовали россиянину провести трансплантацию печени. Однако нижегородские специалисты смогли обойтись без этого. В ходе операции врачи извлекли печень нижегородца, обработали специальным раствором, а после удалили поражённый участок и вернули орган на место, восстановив все сосуды. Кроме того, пациенту удалили часть правого лёгкого, заменили участок нижней полой вены, восстановили диафрагму и желчные протоки, которые успел поразить червь.

3D-визуализация опухоли в печени нижегородца. Фото © Telegram / presseco
Послеоперационный период протекал без осложнений. Молодой человек уже вернулся к привычному образу жизни, резюмировал Никонов.
Ранее Life.ru рассказал, как хирурги в Мытищах спасли 15-летнюю девочку с плёнкой-"пупыркой" в кишках. Подростку пришлось удалить повреждённую часть тонкой кишки.
Freepik / Rawpixel.com

