В Люберцах врачи нашли у подростка кисту с паразитами размером с голову

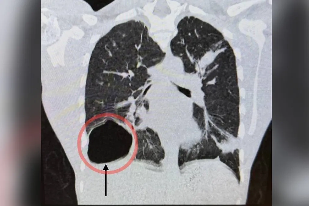
Снимок лёгкого с гигантской паразитарной кистой. Фото © VK / ГБУЗ МО «МОЦОМД»
17-летний подросток поступил в Московский областной центр охраны материнства и детства с жалобами на слабость, высокую температуру, кашель и боль в правой половине грудной клетки. Врачи провели диагностику и обнаружили паразитарную кисту правого лёгкого, размер которой был сопоставим с головой новорождённого ребёнка.
Киста образовалась из-за попадания в организм гельминта — эхинококка. Заражение паразитом происходит при общении с животными. Яйца гельминта не видны невооружённым глазом и чаще всего попадают в организм человека через немытые руки.
Долгое время заболевание протекает бессимптомно, поэтому пациенты чаще всего обращаются за помощью, когда киста увеличивается, появляются тяжесть в животе, головная боль, головокружение, боль в груди или кашель.
Врачи провели щадящую операцию с помощью малоинвазивных методов через несколько проколов. Сейчас подросток уже вернулся домой под амбулаторное наблюдение.
«В нашем отделении накоплен большой опыт хирургического лечения данной патологии малоинвазивными методами через несколько проколов. В данном случае мы избежали широкого разреза. Операция прошла успешно, послеоперационный период протекал без особенностей», — рассказали в Московском областном центре охраны материнства и детства.
Ранее Life.ru рассказывал, как врачи спасли мужчину с огромной паховой грыжей с помощью импланта. Ущемление было сильным и объёмным — метр тонкой кишки провалился в мошонку. Позже выяснилось, что пациент не обращался за помощью около четырёх лет.

