Попытка сдержать чих закончилась для россиянина разорванным пищеводом
В Карелии мужчина разорвал пищевод, попытавшись удержаться от чихания

Обложка © Shutterstock / FOTODOM / Elizaveta Galitckaia
34-летний житель Карелии получил серьёзную травму, зажав нос во время чихания. Вместо того чтобы предотвратить процесс, это привело к разрыву пищевода — воздух попал в ткани шеи, вызвав отёк и сильную боль. О происшествии сообщает «Daily Карелия» со ссылкой на пресс-службу ЦРБ города Суоярви.
«Мужчина 34 года поступил в больницу с жалобами на острую боль при глотании и на изменения в голосе. Он попытался сдержать позыв чихнуть, зажав ноздри пальцами, но когда чихнул, то почувствовал толчки в шее и затем обнаружил, что шея опухла», — рассказали представители медучреждения.

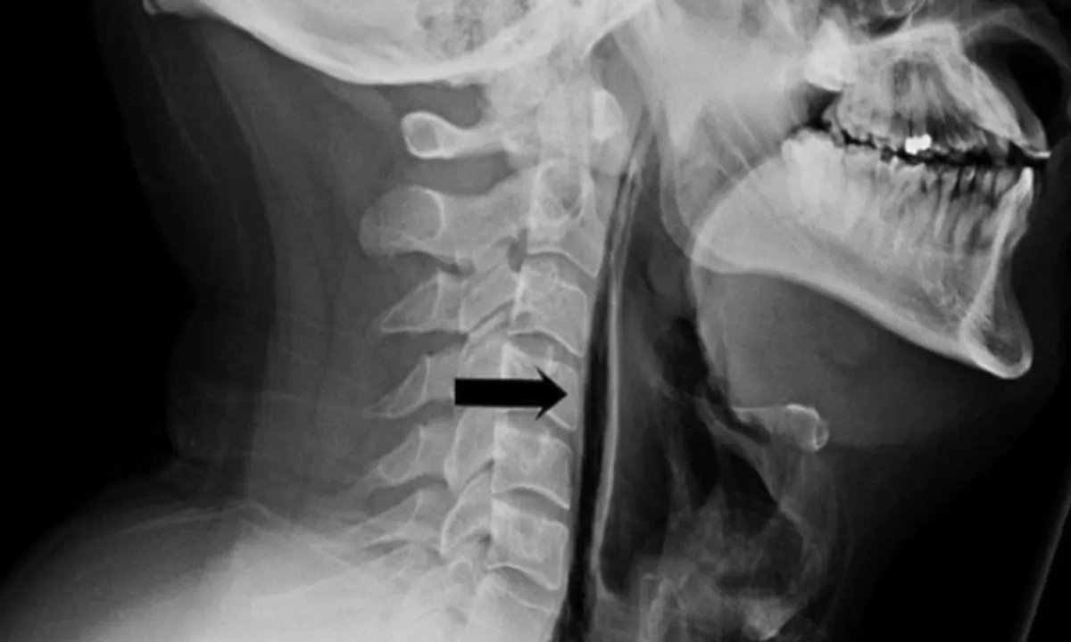
Рентген пациента. Фото © ЦРБ Суоярви
Рентген подтвердил опасное состояние: воздух скопился перед трахеей из-за повреждения пищевода. Врачи предупреждают: попытки подавить чихание могут нанести вред организму, так как создают избыточное давление. Лучше чихать свободно, прикрывая рот платком.
Ранее физиотерапевт предупреждала об опасности попыток сдержать чих с помощью зажатия ноздрей. По её словам, повреждение пищевода — далеко не самое опасное из потенциальных последствий, пострадать могут также барабанные перепонки и даже головной мозг.

