В Москве врачи спасли ребёнка, проглотившего 38 магнитных шариков

Обложка © Shutterstock / FOTODOM / tairome
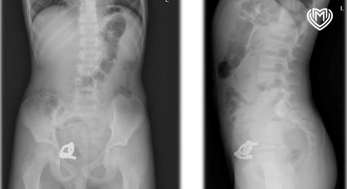
В Морозовской детской больнице в Москве врачи успешно провели сложную хирургическую процедуру по извлечению 38 магнитных шариков из пищеварительной системы маленького пациента. Ребёнок поступил в стационар с жалобами на сильные боли в животе, сообщили Life.ru в пресс-службе медучреждения.
Обследование подтвердило наличие опасного скопления металлических предметов, что потребовало экстренного хирургического вмешательства.

Рентген показал в организме мальчика целую коллекцию магнитиков. Фото © Предоставлено Life.ru
После успешного удаления и восьмидневного пребывания в больнице, состояние мальчика стабилизировалось, и его выписали домой в удовлетворительном состоянии.
Мать ребёнка сообщила, что он мог проглатывать злополучные магнитные шарики постепенно, предположительно, на протяжении всего последнего месяца.
Ранее стало известно, что медики из Детской больницы им. Г.Н. Сперанского провели успешную операцию по извлечению пальчиковой батарейки из организма 12-летнего мальчика, который случайно проглотил её. Оперативность родителей, незамедлительно доставивших ребёнка в больницу, сыграла ключевую роль в благополучном исходе.

