Уникальный случай: Екатеринбуржцу удалили и «нарастили» печень заново
Минздрав: Свердловские онкологи нарастили пациенту здоровую часть печени

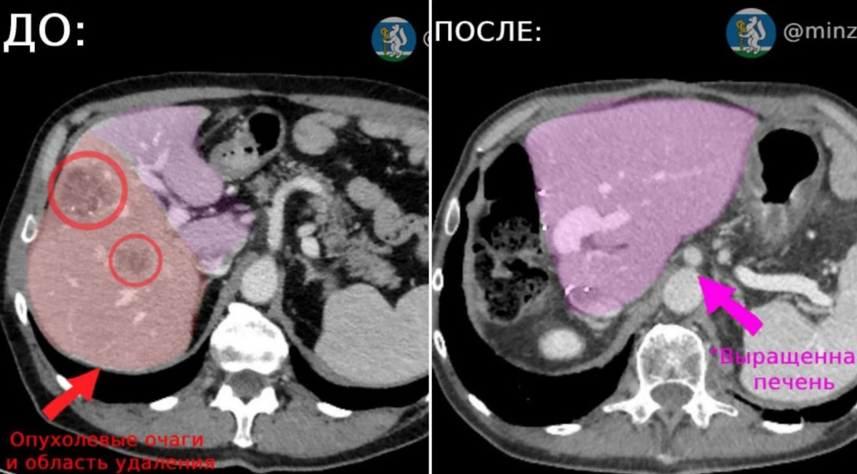
Обложка © VK / Минздрав Свердловской области
Свердловские онкологи провели уникальную операцию по восстановлению печени. Об успешном применении инновационной методики лечения пациента с опухолью печени сообщили в пресс-службе регионального областного онкодиспансера.
60-летнему пациенту удалили около половины поражённого органа, после чего стимулировали рост оставшихся здоровых тканей. Операция проводилась с применением современных технологий.

Печень пациента. Фото © VK / Минздрав Свердловской области
«Возможность выполнения такой операции напрямую зависит от сопутствующих заболеваний печени, которым в абсолютном большинстве случаев подвержены наши пациенты: это гепатиты В и С, цирроз и другие», — пояснил заместитель главного врача по хирургии Глеб Кичигин.
По словам медиков, подобные вмешательства требуют слаженной работы команды специалистов, включая абдоминальных и рентгенэндоваскулярных хирургов. Пациент сейчас чувствует себя хорошо и проходит плановые обследования каждые три месяца.
В ведомстве отметили, что в Свердловской области ежегодно диагностируют около 500 случаев рака печени, который часто развивается на фоне хронических заболеваний. Врачи подчёркивают важность регулярных профилактических осмотров, так как на ранних стадиях болезнь может протекать без симптомов.
Ранее медики рассказали, что даже умеренное потребление алкоголя может нанести серьёзный вред здоровью. Небезопасной для печени считается доза, эквивалентная 600 мл пива (5% крепости) в сутки. Как заявил доцент кафедры поликлинической терапии Университета им. Пирогова Дмитрий Карпенко, регулярное превышение этих норм значительно увеличивает риск развития цирроза и других заболеваний печени.

