10 неожиданных рентгеновских снимков, которые точно вас удивят
Казалось бы, ну что может быть интересного в рентгеновских снимках! Тем не менее пользователи Сети делятся такими шедеврами, что вы тоже захотите их увидеть. Давайте приступать.
"Пришла на консультацию по поводу моих зубов мудрости. Мне разрешили не снимать пирсинг", — dist0rtе.

Фото © Reddit / dist0rte
"Беременная собака", — RyanReynoldsWrap.

Фото © Reddit / RyanReynoldsWrap
"Рентгеновский снимок акулы-молота", — Fishguy_FHL.

Фото © Х / Fishguy_FHL
"У меня редкое заболевание под названием клейдокраниальный дизостоз. Сегодня мне сделали первый рентген зубов, и у меня... много лишних", — NicolasNSane.

Фото © Reddit / NicolasNSane
"Рентгенограмма стоп моего сына", — jsams18.

Фото © Reddit / jsams18
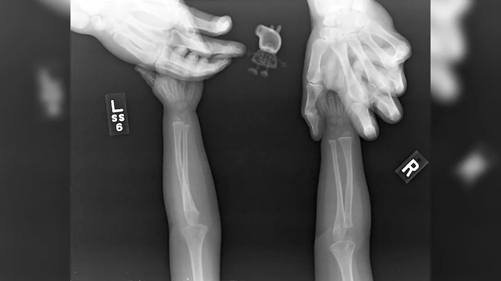
"Дочь взяла свою игрушку Свинку Пеппу на рентген", — cynicalslacker.

Фото © Reddit / cynicalslacker
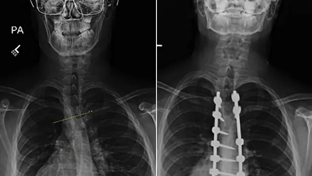
"Лечение ревматоидного артрита. До и после", — joshuas3.
"Рентгеновский снимок морского конька", — kitsua.

Фото © Reddit / kitsua
"Девочка волновалась, что рентгеновский аппарат может сделать больно, поэтому я быстро сделал снимок её игрушечной лисы, чтобы показать, что всё будет в порядке", — nfreni.

Фото © Reddit / nfreni
"Мне разрешили не снимать очки во время рентгена. Выглядит круто!" — Shahzoodo.

Фото © Reddit / Shahzoodoo
- Приметы о бритье, или Почему пора запретить вашему мужчине делать это перед сном
19 декабря 2023, 16:30
- Врач развенчала заблуждение Пухляша из Little Big, считавшего гормон роста причиной своих бед
19 декабря 2023, 16:09
- Три варианта декора новогодней ёлки, что все гости потеряют дар речи
19 декабря 2023, 16:00
Reddit / jsams18, Shahzoodoo


